Залог Медведчука, Гаванский синдром и кибер-атаки Кремля в обзоре западной прессы от 13 мая 2021

Прокуратура Украины требует залог в $11 млн за пророссийского депутата Виктора Медведчука, передает Reuters.
«В прокуратуру подано ходатайство об избрании меры пресечения в виде заключения под стражу с альтернативой внесения залога», - согласно опубликованного в четверг заявления Генеральной прокуратуры, там просят установить залог за «кума Путина» в размере 300 миллионов гривен.
PRportal писал, что на этой неделе Медведчука и его бизнес-партнера Тараса Козака уведомили про подозрения в государственной измене.
«Дело о государственной измене является частью репрессий против Медведчука, которые начались в феврале, когда президент Украины ввел санкции в отношении него и нескольких его соратников, а три телеканала, принадлежащие его союзнику, были отключены от эфира», - считают в Рейтер.

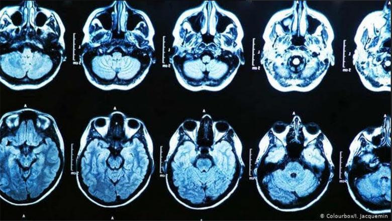
The New York Times: Загадочный «Гаванский синдром» затронул больше людей, чем сообщалось ранее.
Ссылаясь на слова почти двух десятков действующих и бывших американских чиновников, там пишут о, как минимум, 130 спецагентах, дипломатов и военнослужащих, получивших черепно-мозговые травмы вследствие так называемого «Гаванского синдрома».
«Странные и необъяснимые эпизоды становились причиной травм мозга различной степени тяжести у агентов, дипломатов и даже военнослужащих, работающих на ЦРУ, Государственный департамент и Министерство обороны за последние пять лет», - говорится в статье Нью-Йорк таймс.
Там отмечают, что несмотря на то, что нападения на американцев фиксировались по всему миру, большая часть инцидентов произошла на Кубе и в Китае, а первые случаи беспричинных черепно-мозговых травм начали фиксироваться еще в 2016 году.

Пресс-секретарь Белого дома Джен Псаки подтвердила, что команда президента США Джо Байдена собирает отчеты о сотрудниках США, которые «испытывают сенсорные явления, такие как звук, давление или повышение температуры, одновременно сопровождаемые физическими симптомами, такими как внезапное головокружение, тошнота, боль в голове или шее».
В Нью-Йорк таймс также пишут, что «некоторые в Пентагоне» подозревают в этом Россию, хотя другие официальные лица это оспаривают, ссылаясь на отсутствие подтвержденной информации о существовании в России микроволнового энергетического оружия направленного действия.
«Мы задействуем ресурсы правительства США, чтобы разобраться в этом», - сообщила журналистам издания пресс-секретарь Совета национальной безопасности США Эмили Хорн.
«На данный момент у нас нет окончательной информации о причинах этих инцидентов, и будет преждевременно и безответственно начинать строить предположения», - добавила пресс-секретарь Управления национальной разведки США Аманда Шоч.

Британская газета The Guardian пишет про российскую кибер-кампанию против лидера партии зеленых Германии, которая обещала положить конец газопроводу Северный поток-2.
Нападение на Анналену Бербок, в которой все видят замену канцлеру Ангеле Меркель, включало выложенные в социальных сетях обработанные фотошопом фотографии, якобы изображающие ее обнаженной и фотографии, на которой она стоит рядом с миллиардером-финансистом Джорджем Соросом, используемые для усиления нарратива о всемирном заговоре еврейской общины. Немецкие эксперты по безопасности считают, что за кибер-атакой стоит Кремль.
«Мы на стороне оппозиционного политика Алексея Навального и очень четко позиционируем себя против Северного потока-2. А это не может нравится Путину, - прокомментировал изданию Джем Оздемир, бывший лидер Партии зеленых, а ныне ее эксперт по внешней политике. - Чтобы помешать зеленым войти в правительство, у Кремля развязаны руки».

Андрей Миронов




- Войдите, чтобы оставлять комментарии









